
El presidente de Paradores de España, Pedro Saura, confirma al alcalde del municipio la mejora de las instalaciones durante 2022 y su reforma integral durante 2023 El Presidente-Consejero Delegado de Paradores de Turismo de España, Pedro Saura, ha confirmado al...
La campaña de vacunación frente a la gripe y al neumococo en Castilla y León comenzará el día 26 de...
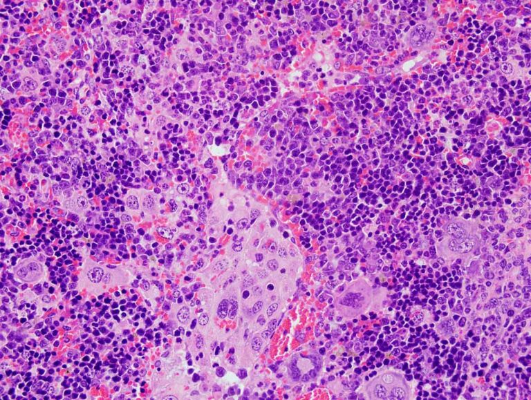
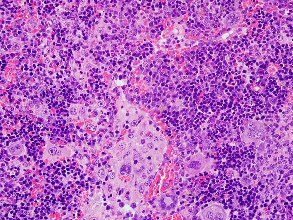
El descubrimiento permitirá identificar fármacos aptos para tratar el linfoma periférico de células T y probar su eficacia en fase...
El PP de Herrera de Pisuerga ha emitido un comunicado en el que analiza la situación de los servicios sociales...
Ecovidrio y el Ayuntamiento de Palencia presentan la campaña solidaria ‘Recicla Vidrio por ellas’ en colaboración con la Fundación Sandra...
Esta actuación se incluye en el marco de la mejora del transporte ferroviario de mercancías entre el Puerto de Santander...
La localidad de Vidrieros, perteneciente al Ayuntamiento de Triollo, contará próximamente con un nuevo edificio destinado a centro sociocultural gracias...
La Consejería de Empleo e Industria, a través del Servicio Público de Empleo de Castilla y León convoca subvenciones para...
Sucesos La Policía Local de León rescató ayer a un tractor con remolque que quedó atascado bajo el puente de...
El Consejo General de Economistas de España distingue a título póstumo al carriones y palentino Enrique Fuentes Quintana con la...